This article was first published by CastCoverz! in 2011. It’s worth repeating!
Back-to-School means new backpacks, shoes, jeans, pencils, and excitement! But, it also means a spike in playground injuries. Did you know:
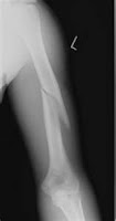
| Broken Humerus |
This article was first published by CastCoverz! in 2011. It’s worth repeating!
Back-to-School means new backpacks, shoes, jeans, pencils, and excitement! But, it also means a spike in playground injuries. Did you know:
| Broken Humerus |
When you or your loved one breaks a bone, the typical prescription is a cast. Sometimes, the patient will receive a splint, or clamshell, cast. If the foot is involved, occasionally a “walking cast” (also known as a “fracture boot” and commonly known as an orthopedic walking boot [think Star Wars boots]) is dispensed. But, there are times fractures or conditions require an external fixator, also known as Ex-Fixes.
Ex-fixes are external “cages” that stabilize an appendage (leg, foot, arm, hand, finger, …) to promote healing. Most people are familiar with them as “halos” when someone has fractured their vertebrae in their neck or spine. Most ex-fixes are unsettling to look at because the appendage (leg, foot, hand, shoulder, etc…) is often swollen and bruised, with rods sticking into the limb. Quite often blood soaked cotton pads at the pin point are an unintended visual of the device.

Why an Ex-Fix and not a cast? Sometimes injuries or conditions are so severe they require constant manipulation to ensure proper healing. The rods and screws can be adjusted, externally, to accomplish this, without requiring additional or minimizing the number of necessary surgeries. Sometimes “ex-fixes” is a treatment choice.CastCoverz! owner’s 17-year old daughter, Elli, was in a serious car accident and her femur was crushed. The femur is the biggest bone in your body and is in your upper thigh. Her orthopedic surgeon gave Elli and her parents the choice of a rod inserted or an ex-fix around her leg. For a variety of reasons, they opted for the rod.
Healing with an ex-fix is typically a long, inconvenient, and often precarious process. Quite often leg and/or foot ex-fixes require bed rest. Compassion and adjusting your expectations for the patient is necessary during this trying time. Often physical surroundings have to be adjusted, too. Remember, as the caretaker, nothing is as inconvenient as what your loved one is enduring.
One solution for those healing in an Ex-Fix around their foot/ankle are our Sleeping Bagz! These comfy-cozy fleece covers are designed to lightly slip over your device to provide some coverage as you rest (and keep your sheets clean!). Not only will they keep your toes cozy, but they’re a lot more fun to look at than your special external “cage”! Check out all your options here.
Because of the obvious unease when looking at an ex-fix (many patients describe it as people staring at them), covering their ex-fix is an important part of a patient’s well-being and healing. CastCoverz! has an experienced custom sewing department that creates custom covers in a variety of fabrics made-to-order for each ex-fix customer.


It’s important to note that ex-fixes for the leg come in weight-bearing and non-weight bearing options! For this reason, it’s important that we know the exact measurements of your device so we can make the perfect custom cover for you or your loved one!
Likewise, ex-fixes can cover arms, knees, and fingers; our team of experts has designed custom covers to fit all these needs. We’ve designed a series of custom covers that can stretch, protect, brighten your ex-fix!
Check out our website for more options for covering your ex-fix, while also customizing it to fit your needs! Choose from a variety of fabrics and prints to help you FEEL better so you can HEAL better 🙂
While most customers are on the hunt for a cover to hide their device, some are shopping for special occasions! It’s not all about fashion; in fact, our covers can be purposed for a wide variety of activities.
One memorable customer requested (and received) a camouflage cast cover. Yep, a hunter went traipsing in the woods and bagged a deer with her foot/leg in an ex-fix covered in camo. P.S. She was on the the last “leg” of her healing and had consulted with her doctor (at least that’s what she told us 🙂 ).
Have you or someone you know worn an External Fixator before? If so, what were some functional “life hacks” that helped ease everyday tasks while you healed?! Share your bright ideas with our community; you never know who will benefit from your genius ideas 🙂
Are you in a cast, an orthopedic walking boot, on crutches or in a sling and have a special event – such as a wedding or prom – to attend? Unfortunately, injuries and emergency surgeries have no regard for the special event on your calendar.
Don’t worry! CastCoverz!™ is here to help. We have cast covers, orthopedic boot covers, slings, crutches and accessories that are fashionable, functional, and customizable so that your cast or sling won’t be the center of attention on your special day … or maybe you want it to be? Either way, we’ve got you covered with over 200 fabrics to select from to match your dress or tux or to make your cast blend in (with neutrals like ivory, nude, black, or white), or to make it stand out with added customization (Swarovski® crystals, perhaps?).
Following are some of our CastCoverz! customers who shared their (very) special cast with us and how we helped the conceal it or stand-out:





Visit our large selection of cast covers for arms, cast covers for legs, covers for orthopedic boots, designer arm slings, designer color crutches, and crutch accessories to cover your injury for your special event.
If you don’t find what you are looking for or have a custom cover idea in mind, contact us by email (cs@castcoverz.com) or call us toll free 1(800) CASTCOVER (1-800-227-8268) and we will happily help you create a customized cover because we want your special day to be about YOU and not about your injury.
Feel Better, Heal Better with CastCoverz!
We are thankful and grateful for all of our wonderful customerz!
All of us at CastCoverz!® wishes all of you a very Happy Thankzgiving!

Do the turkey “feathers” look familiar?
They are part of our Armz! cast covers collection in Neon Orange, Golden State Yellow, 24 Karat, and Rubylicious.
Feel Better, Heal Better with CastCoverz!