This article was first published by CastCoverz! in 2011. It’s worth repeating!
Back-to-School means new backpacks, shoes, jeans, pencils, and excitement! But, it also means a spike in playground injuries. Did you know:
* that 40% of all injuries occur at the beginning and the end of every school year?
* that 70% occur on public playgrounds?
* that 70% of those injuries are severe and involve falls to the surface?
* that severe injury includes concussions, stitches, fractures and even worse?
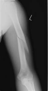
| Broken Humerus |
My 10-year-old daughter was a casualty of a playground structure. She fell over 7 feet, hitting a piece of equipment on the way down and snapped her humerus. That’s the big bone in the upper arm. The worst part? It was preventable. SafeKidsUSA and CastCoverz! wants all parents, educators, and playground supervisor’s to be aware of school playground dangers. But, we also want you to know that most accidents are preventable. Our next post will be about the ways school playground accidents can be prevented. In the meantime, have fun with your friends, study hard, and BE SAFE!
CastCoverz! takes child and playground safety very seriously. Check out our articles on Playground Safety Tips and Preventing Playground Injuries for more information.
